CECT Abdomen stands for Contrast-Enhanced Computed Tomography of the Abdomen. It is a clinical imaging process that makes use of X-rays and a distinction dye to reap distinctive pictures of the belly region.
What is CECT Abdomen?
CECT : Embracing Connectivity, Igniting Possibilities! CECT Abdomen stands for Contrast-Enhanced Computed Tomography of the Abdomen. It is a clinical imaging process that makes use of X-rays and a distinction dye to reap distinctive pictures of the belly region.
During a CECT Whole Abdomen, a distinction agent or dye is injected into a vein, which helps to spotlight and decorate the visibility of blood vessels, organs, and different constructions in the abdomen.
This approves radiologists and docs to verify and diagnose a range of stipulations and ailments affecting the belly area. The system includes the affected person's mendacity on a desk that strikes via a doughnut-shaped computer known as a CT scanner.
The scanner takes more than one X-ray pix from distinctive angles, which are then processed with the aid of a laptop to create cross-sectional snapshots of the abdomen.
These snapshots can grant treasured data about the liver, kidneys, spleen, pancreas, intestines, blood vessels, and different buildings inside the stomach cavity.
CECT Abdomen is often used to diagnose and consider stipulations such as tumours, infections, inflammation, trauma, kidney stones, stomach pain, and abnormalities in the stomach organs.
Role of CECT Abdomen in Cancer
Detection?
A CECT abdomen, additionally regarded as a contrast-enhanced computed tomography of the abdomen, is a diagnostic imaging system that combines the use of a distinction dye and X-rays to attain designated photos of the belly region.
It is carried out for a range of reasons, including:
Evaluation of Abdominal Organs
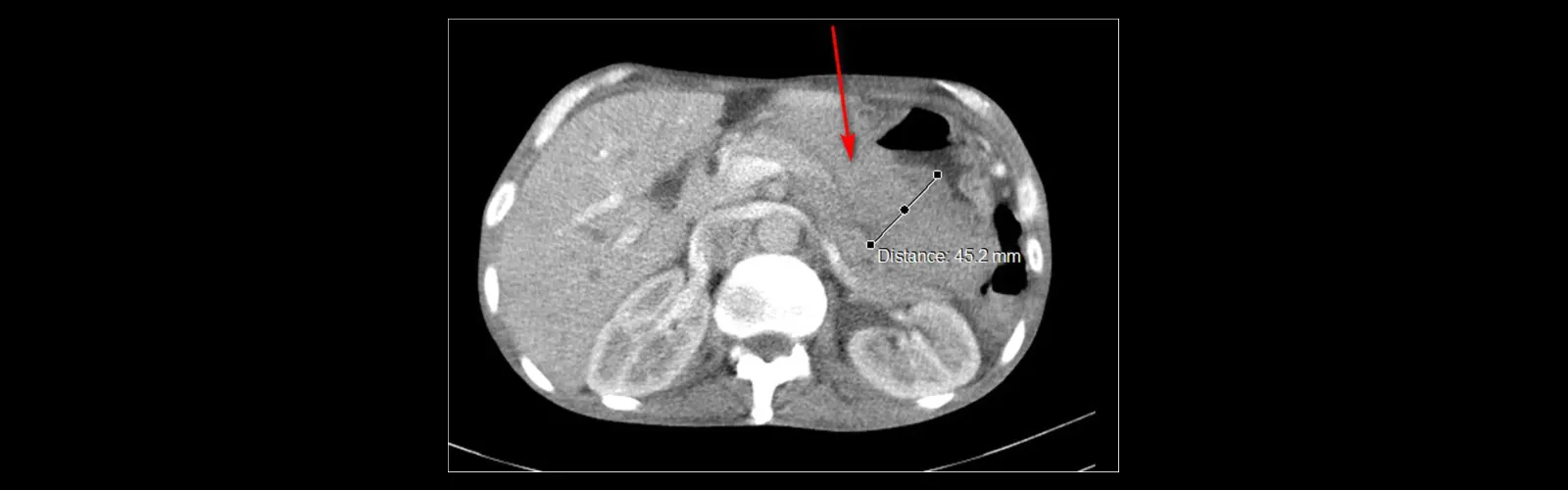
The CECT stomach is normally finished to examine the structure, size, and role of organs in the abdomen, such as the liver cancer , gallbladder, pancreas, spleen, kidneys, and adrenal glands. It helps realize abnormalities like tumtumoursysts, abscesses, or organ enlargement.
Detection of Abdominal Pathologies
CECT stomach can assist become aware of and diadiagnosingerequisites affecting the stomach region, which include stomach problems (such as bowel obstructions, diverticulitis, or inflammatory bowel disease), kidney stones, urinary tract infections, appendicitis, stomach trauma, or stomach wall hernias.
Evaluation of Blood Vessels
The system can furnish particular pix of the stomach blood vessels, consisting of the aorta and its branches, portal vein, hepatic veins, and mesenteric vessels. It helps notice abnormalities such as aneurysms, stenosis (narrowing), or blockages in the blood vessels.
Characterization of Tumors
CECT stomach can assist decide the traits of tumours hundreds located in the abdomen. The distinction dye highlights the vascularity of the lesion, helping in distinguishing between benign and malignant tumours, ass nicely assessing the extent of tumour involvement.
Preoperative Planning
Before surgeries, a CECT stomach might also be carried out to furnish distinct anatomical records about the belly organs and their relationships. This helps surgeons diagram the manner and count on any doable challenges or complications.
Monitoring Treatment Response
CECT stomach can be used to display the effectiveness of sure treatments, such as chemotherapy or radiation therapy, for stomach cancers. Serial imaging can verify modifications in the tumour, vascularity, or response to treatment.
It's vital to be aware that the selection to operon ate a CECT stomach is made by way of a clinical expert based totally on the patient's medical history, symptoms, and suspected or recognized conditions. The manner incorporates a small danger of radiation publicity and plausible allergic reactions to the distinction dye, so it is carried out when the achievable advantages outweigh the risks.

