Urethral cancer is an uncommon kind of cancer that happens in the urethra, the tube that includes urine from the bladder out of the body. It is more frequent in ladies than in men, and it is commonly identified in humans over...
Don't let urethral cancer steal your flow!
Introduction
Urethral cancer is an uncommon kind of cancer that happens in the urethra, the tube that includes urine from the bladder out of the body. It is more frequent in ladies than in men, and it is commonly identified in humans over the age of 60.
Urethral cancers can be both primary, which means it originates in the urethra, or secondary, which means it has developed from some other phase of the body.
What is Urethral Cancer?
Urethral cancer is an uncommon kind of cancer that influences the urethra, which is the tube that incorporates urine from the bladder out of the body. Urethral cancers can manifest in each man and woman, even though it is extra frequent in women. It is usually recognized in human beings over the age of 60.
There are two sorts of urethral cancer: Primary and secondary.
- Primary urethral cancers start in the cells that line the urethra, whilst secondary urethral cancers are a result of most cancers that have developed from any other phase of the body.
- Secondary urethral cancers are more frequent than essential urethral cancer. Because urethral most cancers are rare, it is regularly misdiagnosed or overlooked, which can prolong remedy and limit the probability of a fantastic outcome.
It is vital to seek clinical interest quickly if you trip any signs of urethral cancer. Early prognosis and therapy can enhance the possibilities of a profitable consequence and can also decrease the want for greater aggressive remedies in the future.
Shedding light on the risk factors and prevention of urethral cancer :
Explore the Epidemiological Facts about Urethral Cancer:
- Urethral cancer is an uncommon kind of cancer that causes much less than 1% of all urological malignancies. It is more frequent in ladies than in men, with a male-to-lady ratio of about 1:4.
- Urethral cancers usually take place in humans over the age of 60, with a top incidence in the seventh and eighth a long time of life. The incidence of urethral most cancers varies via vicinity and ethnicity.
- In the United States, the incidence of urethral cancers is about 1 case per 100,000 human beings per year. The incidence is greater in African Americans in contrast to Caucasians. Urethral cancers are additionally extra frequent in positive areas of the world, such as Southeast Asia and Africa.
- The hazard elements for urethral cancers consist of a record of bladder cancer, persistent infection or irritation of the urethra, publicity to sure chemicals or radiation, and human papillomavirus (HPV) infection. HPV contamination is extra generally related to most cancers of the cervix, however, it has additionally been linked to urethral cancer.
- The prognosis of urethral cancers relies upon the stage of most cancers at diagnosis, with until now stage cancers having a higher prognosis than superior-stage cancers.
- The five-year survival price for localized urethral cancers is about 70%, whilst the five-year survival fee for urethral cancers that have unfolded to faraway websites is much less than 20%. Because urethral most cancers are rare, they can be challenging to diagnose and treat.
However, early detection and therapy can enhance the probability of an effective outcome. It is necessary to seek scientific interest directly if you experience any signs and symptoms of urethral cancer, such as blood in the urine or an ache at some stage in urination.
Let's learn about the various Causes of Urethral Cancer
The precise reason for most cancers is now not completely understood, however, numerous chance elements are ideal to amplify the possibility of creating this condition.
These threat elements include:
- Age: Urethral cancer is extra frequent in humans over the age of 60, with a top incidence in the seventh and eighth many years of life.
- Gender: Urethral cancers are more frequent in ladies than in men, with a male-to-woman ratio of about 1:4.
- Personal records of bladder cancer: People who have had bladder most cancers in the previous are at an improved hazard of growing urethral cancer.
- Chronic infection or irritation of the urethra: Chronic inflammation or infection of the urethra, such as that prompted by way of long-term catheterization, can make the danger of creating urethral cancer bigger.
- Exposure to positive chemical substances or radiation: Exposure to positive chemicals, such as fragrant amines, and radiation can amplify the danger of growing urethral cancer.
- Human papillomavirus (HPV) infection: HPV contamination has been linked to the improvement of urethral cancer, though the affiliation is no longer as sturdy as with cervical cancer. It is vital to notice that having one or greater of these hazard elements no longer always suggests that a man or woman will advance urethral cancer.
Conversely, some humans with urethral cancers have no identifiable hazard factors. Urethral cancers can be both primary, which means it originates in the cells of the urethra, or secondary, which means it has developed from any other section of the body. Secondary urethral cancers are more frequent than principal urethral cancers and commonly arise from close by buildings such as the bladder or prostate.
Embracing the Pathophysiology of Urethral Cancer
Urethral cancer happens when bizarre cells in the urethra develop and divide uncontrollably, forming a tumour.
The urethra is a tube that includes urine from the bladder out of the body, and it is divided into three parts:
- The prostatic urethra
- The membranous urethra
- The penile urethra.
Urethral cancers can happen in any of these three parts, though it is most normally discovered in the penile urethra in guys and the distal urethra in women.
- The actual pathophysiology of urethral cancers is now not wholly understood, however, various mechanisms have been proposed. One concept is that persistent inflammation or infection of the urethra can lead to the improvement of cancerous cells.
- This may want to be precipitated utilizing long-term catheterization, sexually transmitted infections, or different elements that reason infection or harm to the urethra.
- Another proposed mechanism is publicity to ensure chemical substances or radiation can injure the DNA in the cells of the urethra, leading to mutations and the improvement of cancer. Aromatic amines, which are discovered in some chemical substances and dyes, have been linked to the improvement of urethral cancer.
- Human papillomavirus (HPV) contamination has additionally been linked to the improvement of urethral cancer, even though the affiliation is no longer as robust as with cervical cancer.
- HPV is a frequent sexually transmitted contamination that can purpose atypical telephone boom in the genital area. The signs of urethral cancers can differ relying on the place and stage of the tumour, however, they frequently encompass blood in the urine, ache or burning at some stage in urination, and a lump or swelling in the urethra.
Know the Red Flags: Signs and Symptoms of Urethral Cancer
Urethral cancers can motivate a variety of symptoms, which might also fluctuate relying on the vicinity and stage of the tumour.
Some frequent symptoms and signs and symptoms of urethral cancers include:
- Blood in the urine: One of the most frequent signs of urethral cancers is blood in the urine (hematuria). The urine might also show up pink, red, or brown, and the amount of blood may additionally vary.
- Pain or pain in the course of urination: Urethral cancers can cause aches or burn at some point of urination, which may additionally be extra said toward the cessation of urination.
- Frequent urination: Some human beings with urethral cancers may additionally ride a multiplied frequency of urination or sense like they want to urinate greater frequently than usual.
- Discharge from the urethra: In some cases, most cancers may additionally cause a discharge from the urethra that is no longer associated with urine.
- Lump or swelling in the urethra: Urethral most cancers can cause a lump or swelling in the urethra that may also be felt at some point during a bodily exam.
- Pelvic pain: As the tumour grows, it may additionally reason aches or pain in the pelvic area.
- Incontinence: In some cases, most cancers can lead to urinary incontinence, which is the loss of bladder control. It is vital to word that these signs can additionally be brought on utilizing different conditions, such as urinary tract infections or benign prostate enlargement.
However, if you journey any of these symptoms, specifically if they persist for greater than a few days, it is necessary to see a healthcare issuer for an evaluation. Early detection and cure of urethral cancers can enhance the possibilities of a profitable outcome.
Urethral cancer complications: Facing them head-on
Urethral cancers can lead to a variety of complications, which may also range relying on the place and stage of the tumour.
Some attainable issues of urethral cancers include:
- Urinary obstruction: As the tumour grows, it might also impede the go with the flow of urine, main to urinary retention (inability to urinate) or different urinary symptoms
- Urinary incontinence: In some cases, most cancers can harm the muscle tissues and nerves that manipulate bladder function, mainly urinary incontinence (loss of bladder control).
- Infection: Urethral cancers can make the urinary tract greater prone to infection, which can reason similar complications. Spread to close-by tissues and organs: If left untreated, urethral most cancers can unfold (metastasize) to close-by tissues and organs, such as the bladder, prostate, or vagina.
- Difficulty with sexual function: In men, most cancers can affect sexual characteribyhrough inflicting erectile dysfunction (difficulty reaching or retaining an erection) or different problems. In women, the tumour can affect vaginal features or lead to painful intercourse.
- Emotional and psychological effects: Dealing with most cancers analysis and the challenges of a remedy can reason emotional and psychological stress, anxiety, and depression. It is necessary to word that no longer all humans with urethral cancers will ride these complications, and the severity of the issues may additionally range relying on the person and the stage of the tumour.
However, early detection and remedy of urethral cancers can assist to decrease the hazard of issues and enhance basic outcomes.
From suspicion to Confirmation: Understanding the diagnosis of urethral cancer
The analysis of urethral cancers generally includes an aggregate of scientific history, bodily examination, and diagnostic tests.
Here are some frequent techniques used to diagnose urethral cancer:
- Medical records and bodily examination: A healthcare issuer will begin by taking exact scientific records and performing a bodily examination. This may additionally contain a pelvic examination or a digital rectal examination for men.
- Urine tests: Urine assessments may also be finished to test for blood or most cancer cells in the urine.
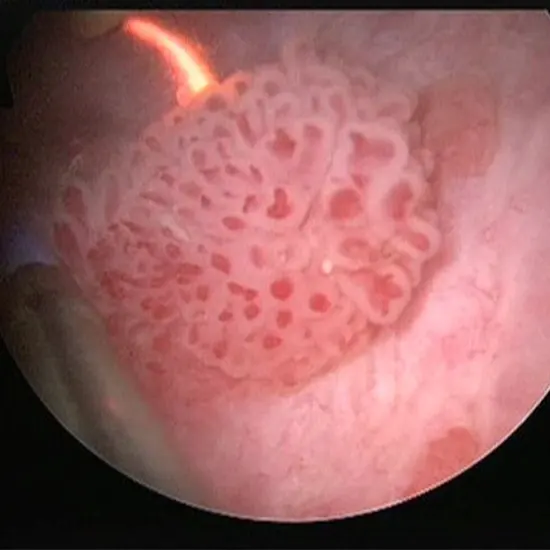
- Cystoscopy: Cystoscopy is a process that includes inserting a thin, bendy tube with a digital camera (cystoscope) into the urethra to visualize the internal of the urethra and bladder.
- Biopsy: During cystoscopy, a tissue pattern (biopsy) may additionally be taken for examination below a microscope to decide if most cancer cells are present.
- Imaging tests: Imaging tests, such as CT scans or MRIs, may also be performed to decide the extent and place of the tumour and to test for any unfold of most cancers too close to tissues or organs.
- Urodynamic studies: Urodynamic research is an assessment that considers the characteristics of the bladder and urethra.
- Blood tests: Blood checks may additionally be achieved to take a look at ranges of positive proteins that may additionally be expanded in human beings with urethral cancer. It is vital to observe that the analysis of urethral cancers can be challenging, as the signs and symptoms may also be comparable to these of different conditions.
Therefore, it is essential to see a healthcare issuer if you journey any symptoms, specifically if they persist for greater than a few days. Early detection and cure of urethral cancers can enhance the probability of a profitable outcome.
Various Treatment Options
The cure of urethral cancers relies upon the stage and place of the tumour, as nicely as the individual's standard fitness and private preferences.
Here are some frequent strategies used to deal with urethral cancer:
- Surgery: Surgery is regularly the foremost remedy for urethral cancer. The kind of surgical treatment relies upon the vicinity and stage of the tumour. For example, surgical procedures can also contain eliminate the phase of the urethra, the bladder, or different tissues or organs.
- Radiation therapy: Radiation remedy entails the use of high-energy beams to kill most cancer cells. It might also be used by myself or in conjunction with surgery.
- Chemotherapy: Chemotherapy entails the use of capsules to kill most cancer cells. It can also be used by myself or in a mixture with different treatments, such as radiation remedies or surgery.
- Immunotherapy: Immunotherapy includes the use of capsules to improve the body's immune device to battle most cancer cells.
- Palliative care: Palliative care entails managing signs and enhancing high-quality lifestyles for human beings with advanced or terminal cancer. It is essential to notice that the therapy of urethral most cancers can be complicated and may additionally require a crew strategy involving healthcare carriers from one-of-a-kind specialities, such as urologists, oncologists, and radiation therapists.
Therapy intends to eliminate or spoil most cancer cells whilst maintaining as much of the ordinary features of the urinary tract as possible.
Preventive Measures are taken to avoid Urethral Cancer
There is no positive way to forestall urethra, however, howeve,r there are some steps you can take to decrease your risk:
- Practice secure sex: Reducing your publicity to sexually transmitted infections (STIs) can assist decrease the threat of growing urethral cancer. Use condoms or different limitations in the course of sexual activity.
- Quit smoking: Smoking is a primary threat element for many kinds of cancer, which include urethral cancer. Quitting smoking can assist minimize your risk.
- Maintain a healthful weight-reduction plan and lifestyle: Eating a healthful eating regimen and getting an ordinary workout can assist limit your threat of many sorts of cancer, which includes urethral cancer.
- Seek immediate clinical attention: If you experience any signs of urethral cancer, such as blood in the urine, concern urinating, or aches throughout urination, see a healthcare company directly for comparison and treatment.
- Get normal check-ups: Regular check-ups and most cancers screenings may additionally assist in becoming aware of most cancers early when it is most treatable. It is necessary to observe that some chance elements for urethral cancer, such as age and gender, can't be changed.
However, taking steps to decrease modifiable hazard elements can assist limit the normal threat of creating urethral cancer.
In conclusion, urethral cancer is an uncommon but serious structure of most cancers that impacts the urethra, which is the tube that contains urine from the bladder to outside the body. It can cause a range of symptoms, such as blood in the urine, concern urinating, and ache in the course of urination. If you experience any symptoms related to urethral Cancer, consult a physician.
Don't Let Urethral Cancer Define You - Take Control of Your Treatment!

