Pineal astrocytoma is an uncommon kind of talent Tumour that arises in the pineal gland, a small gland placed in the core of the brain. The pineal gland produces the hormone melatonin, which helps alter sleep and wake cycles....
Rays of hope: Shedding light on Pineal Astrocytoma!
Introduction of Pineal Astrocytoma
Pineal astrocytoma is an uncommon kind of talent Tumour that arises in the pineal gland, a small gland placed in the core of the brain. The pineal gland produces the hormone melatonin, which helps alter sleep and wake cycles. Pineal astrocytomas are usually slow-growing Tumours and are labelled as low-grade astrocytomas.
The signs of pineal astrocytomas can differ depending on the measurement and place of the Tumour.
While pineal astrocytomas are rare, they can be a serious circumstance that requires on-the-spot analysis and treatment. It is essential for men and women who are experiencing signs of a Brain Tumour to be looking for clinical interest as quickly as possible.
What is Pineal Astrocytoma?
Pineal astrocytoma is a type of Brain Tumour that arises from the pineal gland, a small endocrine gland placed in the middle of the brain. The pineal gland is accountable for producing the hormone melatonin, which helps alter sleep and wake cycles.
Pineal astrocytomas are uncommon and account for only about 1% of all talent Tumours. Pineal astrocytomas are normally slow-growing Tumours and are categorized as low-grade astrocytomas.
They can appear in people of any age, however, they are most usually recognized in kids and young.
The desire for the cure will rely on the measurement and place of the Tumour, as well as the patient's standard fitness and clinical history. While pineal astrocytomas are rare, they can be a serious circumstance that requires instant analysis and treatment.
It is necessary for people who are experiencing signs and symptoms of an intelligence Tumour to search for scientific interest as quickly as possible.
From Statistics to Solutions: Investigating the Epidemiology of Pineal Astrocytoma:
- Pineal astrocytomas are an uncommon type of talent Tumour, accounting for much less than 1% of all talent Tumours. They are most frequently recognized in youth and younger adults, however, can appear in humans of any age.
- The incidence of pineal astrocytomas is hard to decide due to the fact of their rarity, however, they are believed to account for much less than 5% of all Tumours bobbing up from the pineal gland.
- Pineal astrocytomas are barely extra frequent in men than females. There is some proof to endorse that genetic problems may additionally enlarge the threat of creating a pineal astrocytoma, such as neurofibromatosis kind 1 (NF1) and tuberous sclerosis complicated (TSC).
- However, the majority of pineal astrocytomas appear sporadically and do not have a regarded genetic cause. Pineal astrocytomas are regularly identified at a superior stage due to the fact their signs can be indistinct and nonspecific, mainly to delays in diagnosis.
- As a result, the prognosis for pineal astrocytomas can range extensively relying on the dimension and vicinity of the Tumour, as well as the age and normal fitness of the patients.
- It is essential for men and women who are experiencing signs and symptoms of an intelligence Tumour to be trying to find clinical interest as quickly as possible, specifically if they have a household record of Brain Tumours or a recognized genetic disease related to an expanded danger of creating a pineal astrocytoma.
Connecting the dots: Investigating the causes of Pineal Astrocytoma:
- The actual motive of pineal astrocytoma is no longer wholly understood, however, it is believed to be a result of genetic mutations that motivate everyday intelligence cells to develop and divide uncontrollably, forming a Tumour in the pineal gland.
- While the majority of pineal astrocytomas appear sporadically and do not now have a recognized genetic cause, there is some evidence to advise that sure genetic issues can also make the threat of growing a pineal astrocytoma bigger.
- For example, men and women with neurofibromatosis kind 1 (NF1) or tuberous sclerosis complicated (TSC) may additionally have an improved chance of creating a pineal astrocytoma.
- Radiation exposure has additionally been advised as a viable threat issue for pineal astrocytomas, in particular in youth who have obtained radiation remedy to the head as a section of their therapy for different conditions.
- In some cases, pineal astrocytomas can also be related to positive inherited genetic syndromes, such as Li-Fraumeni syndrome or neurofibromatosis kind 1, which can make the threat of creating an intelligent Tumour bigger.
- It is vital to word that the majority of pineal astrocytomas manifest spontaneously and there may additionally now not be a clear reason or hazard component for their development.
Pathophysiology of Pineal Astrocytoma: Tracing the Roots of the Problem
- Pineal astrocytomas are Tumours that occur from the astrocytes, a kind of glial cell that helps and nourishes the neurons in the brain. These Tumours boost the pineal gland, a small endocrine gland placed in the middle of the Brain that produces the hormone melatonin.
- The actual pathophysiology of pineal astrocytomas is now not entirely understood, however, it is believed to be a result of genetic mutations that purpose the ordinary astrocytes to develop and divide uncontrollably, forming a Tumour.
- These mutations might also be spontaneous or may additionally be related to genetic syndromes or different hazard factors, such as publicity to radiation. Pineal astrocytomas are usually slow-growing Tumours and are categorized as low-grade astrocytomas.
- It can range in measurement and location, and may additionally compress close-by constructions in the brain, mainly to signs and symptoms such as headaches, visible disturbances, and concern with stability and coordination.
- The remedy of pineal astrocytomas relies upon the measurement and area of the Tumour, as nicely as the age and usual fitness of the patient.
- Further lookup is wished to higher recognize the underlying mechanisms of these Tumours and to enhance greater wonderful treatments.
Signs and Symptoms of Pineal Astrocytoma
The symptoms and signs of a pineal astrocytoma can fluctuate depending on the dimension and place of the Tumour, as well as the age and typical fitness of the patient.
Some of the frequent signs and symptoms and signs and symptoms of pineal astrocytoma include:
- Headaches: Persistent headaches, mainly in the morning, may additionally be a signal of a pineal astrocytoma.
- Visual disturbances: Pineal astrocytomas can compress the optic nerve or different close-by constructions in the brain, main to visible disturbances such as double imaginative and prescient or blurry vision.
- Difficulty with stability and coordination: Pineal astrocytomas can additionally affect the cerebellum, mainly with stability and coordination.
- Nausea and vomiting: Increased stress inside the intelligence due to a pineal astrocytoma can cause nausea and vomiting.
- Changes in conduct or personality: In some cases, pineal astrocytomas can affect the frontal lobes of the brain, leading to modifications in behaviour, personality, and cognitive function.
- Seizures: Pineal astrocytomas can additionally reason seizures, which may also be the first sign of the Tumour. It is essential to be aware that these signs are now not particular to pineal astrocytoma and can be triggered via a range of different prerequisites as well.
However, if a character is experiencing these symptoms, mainly if they are chronic or worsening over time, they ought to search for clinical interest to decide the underlying cause.
Early analysis and therapy can enhance the effect for people with pineal astrocytoma.
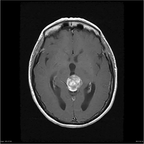
Pineal Astrocytoma Diagnosis: Don't wait, investigate!
The analysis of pineal astrocytoma normally includes a mixture of imaging assessments and a biopsy to verify the presence of the Tumour.
The diagnostic procedure may additionally include:
- Neurological exam: The medical doctor will operate a neurological examination to investigate the patient's motor and sensory functions, reflexes, coordination, and balance.
- Imaging tests: Imaging exams such as MRI or CT scans are frequently used to visualize intelligence and notice the presence of a pineal astrocytoma.
These assessments can assist decide the dimension and place of the Tumour, as nicely as its relationship to nearby constructions in the brain.
- Biopsy: A biopsy includes taking a small pattern of the Tumour tissue for evaluation underneath a microscope to affirm the prognosis of pineal astrocytoma.
- Laboratory tests: Blood assessments and different laboratory assessments may also be carried out to determine the patient's usual fitness and to appear for any signs and symptoms of hormonal imbalances or different abnormalities.
- Genetic testing: In some cases, genetic trying out can also be advocated to seem for precise genetic mutations that may additionally be related to the improvement of pineal astrocytoma.
The analysis of pineal astrocytoma is usually made through a group of healthcare professionals, which includes neurologists, neurosurgeons, and oncologists, who work collectively to decide the exceptional path of remedy for the patient.
Early prognosis and therapy can enhance the result for persons with pineal astrocytoma.
Treatment of Pineal Astrocytoma:
The cure for pineal astrocytoma commonly includes an aggregate of surgical resection, radiation therapy, and/or chemotherapy. The particular therapy sketch relies upon elements such as the dimension and vicinity of the Tumour, the patient's age and usual health, and the aggressiveness of the Tumour.
- Surgical resection: Surgery is the major cure for pineal astrocytomas. In some cases, the whole Tumour can be eliminated with surgery. In different cases, the healthcare professional can also put off as a good deal of the Tumour as possible, whilst keeping the character of the surrounding intelligence tissue.
- Radiation therapy: Radiation remedies can also be used after a surgical operation to kill any closing most cancers cells or as the major therapy if the surgical operation is now not an option. External beam radiation remedy or stereotactic radiosurgery might also be used to goal the Tumour.
- Chemotherapy: Chemotherapy may also be used in conjunction with radiation therapy, in particular for Tumours that are hard to eliminate with surgery. Chemotherapy capsules might also be given orally or intravenously.
- Supportive care: Depending on the patient's symptoms, supportive care such as ache administration or anti-seizure remedy may additionally be recommended.
The purpose of the cure for pineal astrocytoma is to manipulate the increase and unfold of the Tumour, relieve symptoms, and enhance pleasant life.
The success of a remedy relies upon many factors, consisting of the stage and grade of the Tumour, the place of the Tumour, and the patient's usual health. Regular follow-up with healthcare authorities is essential to reveal the effectiveness of the cure and become aware of any recurrence of the Tumour.
The complication of Pineal Astrocytoma
PiA pineal astrocytoma can lead to a variety of complications, which can differ depending on the measurement and place of the Tumour, as well as the kind and stage of cancer.
Some of the frequent problems related to pineal astrocytoma include:
- Neurological deficits: A pineal astrocytoma can motivate harm to the surrounding Brain tissue, mainly to neurological deficits such as paralysis, weakness, numbness, or speech difficulties.
- Vision problems: A pineal astrocytoma can compress the optic nerve or different close-by buildings in the brain, mainly to imaginative and prescient troubles such as double vision, blurry vision, or imaginative and prescient loss.
- Seizures: A pineal astrocytoma can motivate seizures, which can be life-threatening in some cases.
- Hormonal imbalances: A pineal astrocytoma can affect the hypothalamus and pituitary gland, mainly to hormonal imbalances and signs and symptoms such as fatigue, weight gain, or temper changes.
- Increased Intracranial Pressure: A pineal astrocytoma can enlarge the strain inside the skull, leading to signs such as headaches, nausea, vomiting, or confusion.
- Infection: Surgery or different invasive tactics used to deal with pineal astrocytoma can extend the hazard of infection.
- Recurrence of the Tumour: Even after profitable treatment, pineal astrocytoma can recur in some cases. It is essential to manipulate these problems efficiently to enhance the patient's satisfactory lifestyle and typical prognosis.
Prognosis of Pineal Astrocytoma:
- The prognosis for pineal astrocytoma can fluctuate broadly relying on a range of factors, which includes the measurement and region of the Tumour, the patient's age and universal health, and the kind and stage of cancer.
- In general, pineal astrocytoma is an uncommon and aggressive cancer with a tremendously negative prognosis.
- The 5-year survival fee for sufferers with pineal astrocytoma is about 40%, and the 10-year survival fee is about 20%.
- However, survival fees can fluctuate depending on the stage and grade of the Tumour, with lower-grade Tumours usually having a higher prognosis than higher-grade Tumours.
- Other elements that can affect prognosis consist of the extent of surgical resection, the use of radiation remedy or chemotherapy, and the presence of any issues or comorbidities.
Regular follow-up with healthcare professionals is necessary for people with pineal astrocytoma to reveal the effectiveness of therapy and realize any recurrence of the Tumour. Additionally, supportive care and palliative care might also be advocated to control signs and symptoms and enhance the fineness of existence for humans with superior or metastatic disease.
In conclusion, pineal astrocytoma is an uncommon kind of Brain Tumour that originates in the pineal gland. It can lead to a range of neurological symptoms, such as headaches, imaginative and prescient problems, and seizures. Regular follow-up with healthcare specialists is essential to screen the effectiveness of the cure and discover any recurrence of the Tumour.
Let's give Pineal Astrocytoma the attention it deserves!

