Invasive cribriform carcinoma of the breast (ICCB), moreover named intrusive cribriform carcinoma, may be an uncommon sort of breast cancer that accounts for 0.3% to 0.6% of all carcinomas (i.e. cancers that create from...
Invasive cribriform carcinoma of the breast (ICCB), moreover named intrusive cribriform carcinoma, may be an uncommon sort of breast cancer that accounts for 0.3% to 0.6% of all carcinomas (i.e. cancers that create from epithelial cells) within breast.
It begins in a lactiferous duct as contradicted to the lobules that frame the alveoli within the breasts' mammary organs (lobules make the drain which the conduits channel to the breast's areola). ICCB was, to begin with, portrayed by Dixon and colleagues in 1983 as a tumor that on tiny histopathological review had a cribriform pattern,i.e. a tissue design comprising of various "Swiss cheese"-like open spaces and/or sieve-like little gaps
The most recent version (2019) of the World Well Being Organization (2019) named these injuries intrusive cribriform carcinomas showing that they must have a component that attacks out of their conduits of beginning into adjoining tissues. In situ ductal cancers (i.e., cancers localized completely inside their tissues of the root) that have cribriform histopathology are respected as having a place to the bunch of ductal carcinomas in situ tumors.
Once in a while, cancers with the histopathological cribriform design create in other organs such as the prostate organ (named obtrusive cribriform prostate cancer or cribriform prostate cancer), salivary organ (named cribriform adenocarcinoma of salivary glands), sweat organs (termed primary cutaneous cribriform apocrine carcinoma), thyroid organ (named cribriform-morular thyroid carcinoma), colon (named cribriform colon cancer), and lung (named cribriform design in lung adenocarcinoma and considered to be an uncommon variation of acinar adenocarcinoma of the lung). Here, the term intrusive cribriform carcinoma of the breast rather than obtrusive cribriform carcinoma is utilized in arrange to recognize it from these other cribriform carcinomas.
ICCB, whereas a cancerous tumor that happens overwhelmingly in more seasoned females and uncommon cases guys, has numerous favorable clinical and neurotic highlights counting a low rate of metastasizing to removed tissues and a great prognosis.
Earlier versions of the World Wellbeing Organization isolated ICCB into two shapes, the "immaculate" shape (some of the time named "classical"), i.e. ICCB tumors that had >90% cribriform ranges, and the "blended" shape, i.e. ICCB tumors that had >50% cribriform zones with the remaining zones having a tubular histological pattern. However, numerous prior and later think about have respected blended ICCB as comprisin>50% cribriform regions with the remaining ranges containing tubular or certain other histopathological designs. The last-mentioned definition of blended ICCB is utilized here.
People showing ICCB in one huge consider were normal 61 years/old post-menopausal females and similarly matured guys (normal age 65.4with the guys speaking to 1.7% of all cases. Be that as it may, people as youthful as 14 and 18 years have been diagnosed with the malady. ICCB tumors are little (i.e. 58%-75.4% less than 2-5 centimeters and 22%-38% more than 2-5 centimeters in biggest breadths), asymptomatic masses to begin with recognized by palpation or screening strategies such as mammography or restorative ultrasound.
Screening strategies frequently (i.e. 32% of cases) distinguish zones of microcalcification (i.e. modest stores of calcium) within the masses. In a generally little rate of cases (e.g. 15.9 to 25.5% in most ponders), the workup of these people finds that their tumor has metastasized (i.e. spread) to the lymph hubs within the adjacent axilla (i.e. armpit). Very seldom, people have displayed ulcerated skin injuries or modified nipples, with repeats at or close to the location where an ICCB tumor had been surgically removed, or with metastases to removed tissues such as the vertebral bones.
Invasive cribriform carcinoma (ICC) is a penetrating breast carcinoma with an overwhelmingly cribriform design. It is unadulterated when > 90% of the tumor is of cribriform design. It is named blended ICC when the other obtrusive component constitutes 10 - 90%. It is a moo review tumor with the review I core and meager mitotic movement.
Cribriform may be a histopathological term used to depict a neoplastic epithelial expansion within the form of huge homes punctured by numerous very adjusted different-sized spaces. This development design may be seen in carcinomas emerging in numerous organs and appears imperative prognostic suggestions.
The 10-year by and large survival rate for ICC is 90–100%, and the result of blended ICC is detailed to be less favorable than that of the unadulterated shape, but way better than that of common ductal carcinoma (1,3,16).
Arrange IV portrays intrusive breast cancer that has spread past the breast and adjacent lymph hubs to other organs of the body, such as the lungs, removed lymph hubs, skin, bones, liver, or brain. You'll listen to the words progressed and metastatic utilized to portray arranged IV breast cancer.
Pathology
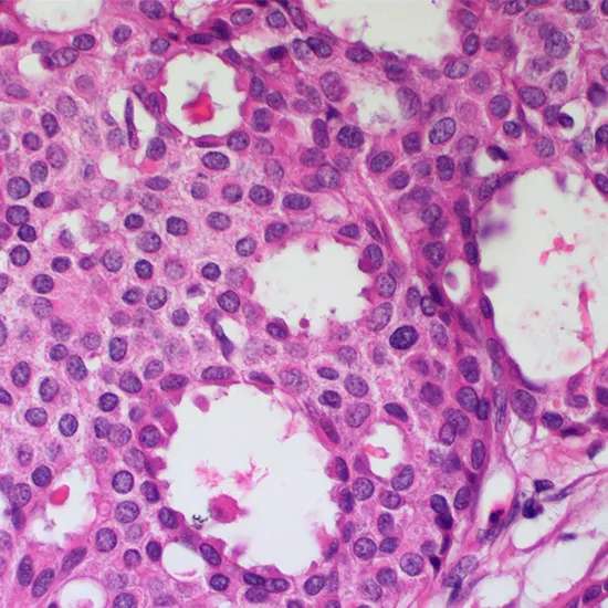
The minuscule histopathology of ICCB tumors recolored with hematoxylin and eosin appears cribriform ranges covering more than 50% of the tumor with the remaining tumor ranges appearing tubular and/or other histopathological designs. The cribriform ranges comprise small-sized cells with amphophilic (i.e. taking up both the hematoxylin and eosin stains) cytoplasm, vague cell boundaries, and small-to-medium measured cores that are encompassed by a sharp atomic film and contain finely stippled chromatin (i.e. DNA coated with protein). Numerous open spaces and/or sieve-like little gaps lie between these cells (see over photomicrograph) to donate the injuries a Swiss cheese-like appearance.
The spaces and gaps may contain microcalcifications and/or mucins (i.e. tall atomic weight, sugar-linked proteins regularly created and discharged by the mammary organ and found in milk). The cells around these spaces and gaps some of the time have "apical noses", i.e. little projections on the side of the cells that face the spaces and holes.
Tubular regions (see adjoining photomicrograph of a tubular carcinoma) comprise well-formed tubules lined with generally ordinary showing-up tubular cells. The other histopathological designs that will happen in these tumor sorts incorporate the design related to obtrusive carcinoma of no uncommon sort or in exceptional cases the design related to mucinous carcinoma of the breast. The intrusive component of these tumors nearly continuously has the cribriform histopathology pattern.
All of the tumor cells in ICCB are regularly slow-growing as proven by their moo mitotic file (i.e. the proportion of the number of partitioning cells to the whole number of tumor cells) or low levels of cellular Ki-67 protein (an list of cell multiplication). A Soothsayer considers of 750 people with unadulterated or blended ICCB detailed that a) 92.8% comprised of tumor cells that were scored well-differentiated (i.e. review 1) or modestly well-differentiated (review 2) (separation is the degree to which tumor cells take after the non-cancerous cells within the tissue from which they inferred) whereas 7.2% were scored poorly-differentiated (review 3) or undifferentiated (review 4) tumor cells; b) 76.1, 20.0, 2.6, and 1.3% of the cases had T1, T2, T3, and T4 tumors, separately (expanding T numbers demonstrate expanding tumor estimate and/or attack into adjoining tissues); c) 83.2, 13,6, 2.4. and 0.8% of all cases had tumors that metastasized separately to (i.e. no metastasis), 1, 2, or 3 adjacent armpit lymph hubs; and d) 1.3% of all cases had metastasizes in far-off tissues (the tissue destinations were not identified).[12] I think about 42 people, 16 (38.1%) had unadulterated and 26 (61.9%) had blended ICCB; there were no noteworthy contrasts in the age of introduction, tumor measure, or tumor review between unadulterated and blended ICCB; immaculate ICCB had 5 (31.5%) and mixed ICCB had 16 (61.5%) cases that were related with lymph hub metastases; and there were no cases that had far off tissue metastases.
Immunohistochemistry
Minuscule assessment of immunostained (i.e. a strategy that employments extraordinarily arranged antibodies that join to particular proteins so that they can be identified and measured) ICCB tumor cells has appeared that they express estrogen receptors in almost 95.4% of cases, progesterone receptors in around 89.5% of cases, and the HER2/neu protein in almost 3% of cases. The estrogen and progesterone receptors and HER2/neu protein, when communicated by breast cancer tumor cells, are helpful targets for treating different shapes of breast cancer counting ICCB.ICCB tumors too ordinarily have cells that express cytokeratin proteins but not myoepithelial marker proteins such as tumor protein 63, smooth muscle actin, calponin, or CD10.
Diagnosis
The conclusion of ICCB tumors is based on the histopathology and immunohistochemistry of their hematoxylin and eosin-stained tissues, especially on recognizing their overwhelmingly cribriform structure and attack into adjoining tissues. Immunostaining to characterize the expression design of the components laid out within the Immunohistochemistry segment has moreover been utilized to back the analysis in less clear cases. Adenoid cystic carcinoma and certain neuroendocrine tumors have been mixed up for ICCB tumors.
Adenoid cystic carcinomas are recognized as shape ICCB by having open spaces that are PAS diastase stain-positive and by the nearness of tumor cells that express cKit but not estrogen and progesterone receptors; ICCB tumor open spaces are PAS diastase stain-negative, and their tumor cells don't express cKit but do express estrogen and progesterone receptors. Neuroendocrine tumors with an obtrusive component (numerous of these tumors are non-invasive) are separated from ICCB tumors by their substance of spindle-shaped cells, cells that take after plasma cells, and expansive clear cells; these sorts of cells are regularly not found in ICCB tumors.
Treatment
Due to their relative irregularity, standard treatment rules have not been formally recognized or characterized for ICCB tumors. Subsequently, current medications for these tumors are based on conventions utilized to treat intrusive carcinoma of no extraordinary sort. (These medications have not been entirely inspected exclusively or compared with each other for their viability in treating ICCB. IBBC tumors do have the potential to metastasize to removed tissues in case left untreated for a long period. Virtually all patients (97.2% of the 760 cases) within the Soothsayer survey considered were treated by surgical evacuation of their tumors.
This surgery has ordinarily been either breast-conserving surgery or altered radical mastectomies. Patients with ICCB may moreover get adjuvant radiotherapy and/or chemotherapy. In the Diviner consideration, 52.2% were treated with radiotherapy and 22.1% with chemotherapy.
The chemotherapy regimens utilized to treat ICCB have included triple treatment with cyclophosphamide, epirubicin, and fluorouracil, twofold treatment with docetaxel and epirubicin, and triple treatment with cyclophosphamide, doxorubicin, and fluorouracil. In later considers, essentially all people have been treated with adjuvant hormonal treatment drugs, such as letrozole or anastrozole (which piece the digestion system of androgen to estrogens by the aromatase protein in non-gonad tissues and this manner diminish estrogen levels) or with tamoxifen (which acts by implication to restrain the estrogen receptor).
People with blended ICCB have been treated with the more forceful of these conventions than people with immaculate ICCB in a few but not all things. It has been recommended that unadulterated ICCB tumors may be way better treated with the more preservationist methodologies recorded here.
Prognosis
Within the Diviner, about 750 people with ICCB (immaculate and blended sorts not recognized), the general survival rates (i.e. incorporates passings due to ICCB and any other cause) at 3 and 5 long time after starting treatment was 94.4% and 90.3%, separately.
Bigger tumor measure, nearness of removed tissue metastases, higher tumor stages, more seasoned age (>67 a long time ancient), single or separated conjugal status, and need of progesterone receptors in tumor cells were related with poorer guesses whereas the nearness of lymph hub metastases did not essentially modify prognosis. A later think about of 42 patients with ICCB taken after a normal of 88 months (run 15–106 months) detailed that the middle by and large survival 5 a long time after treatment was 100% for both immaculate and blended ICCB and the anticipated 10 years by and large survival rate was 100% for unadulterated and 90% for blended ICCB. Several other ponders on little numbers of patients and detailed that immaculate and blended ICCB people have 10-year in general survival rates of over 90%. Recurrent ICCB has been effectively treated with surgical expulsion of the tumor furthermore chemotherapy and ICCB with metastases to removed tissues have been effectively treated with surgical expulsion of the breast tumor, chemotherapy, radiotherapy, and long-term treatment with tamoxifen taken after by letrozole.

