PET CT stands for positron emission tomography-computed tomography. It may be a sort of restorative imaging that combines two procedures: PET and CT.
PET Scans Show Promise in Diagnosing Fever of Unknown Origin.
PET CT stands for positron emission tomography-computed tomography. It may be a sort of restorative imaging that combines two procedures: PET and CT.
PET employments a little amount of radioactive fabric called a radiotracer that's infused into the body. The radiotracer travels through the body and collects in regions where there's expanded metabolic activity, such as in tumors or contaminations.
CT employments X-rays to form point by point pictures of the body's inside structures. When PET and CT are combined, it permits specialists to see both metabolic movement and anatomical points of interest at the same time, which can offer assistance in diagnosing the fundamental cause of a fever.
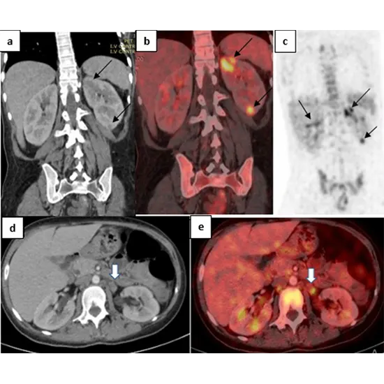
PET-CT can be valuable in cases where a fever is caused by an contamination or aggravation, because it can offer assistance to identify areas of expanded metabolic action which will be demonstrative of the nearness of disease or irritation within the body.
Be that as it may, it isn't always essential or suitable to perform a PET-CT check for each fever, as the basic cause may be effectively analyzed through other implies such as blood tests or a physical exam.
Within the setting of fever, PET CT can be utilized to assist diagnose the basic cause of the fever. PET CT can distinguish regions of inflammation or infection within the body that will not be unmistakable on other imaging strategies such as X-ray or MRI. It can also offer assistance distinguish ranges of cancer which will be causing the fever.
Amid a PET CT check, a small amount of radioactive fabric is infused into the patient's circulation system. This fabric is taken up by cells within the body and emanates a little sum of radiation, which is recognized by the PET scanner. The CT scanner at that point makes nitty gritty pictures of the body that show the area and extent of any ranges of unusual activity detected by the PET scanner.
In general, PET CT can be a valuable device within the assessment of fever of obscure beginning, especially in cases where other symptomatic tests have been uncertain. Be that as it may, its utilize ought to continuously be decided by a therapeutic proficient and custom-made to the particular needs of the person persistent.

