Cheek cancer, also known as buccal mucosa cancer or oral cancer, is a type of cancer that develops in the lining of the cheeks. It is a rare form of cancer, accounting for only about 10% of all oral cancers. Cheek cancer is...
Cheek cancer, also known as buccal mucosa cancer or oral cancer, is a type of cancer that develops in the lining of the cheeks. It is a rare form of cancer, accounting for only about 10% of all oral cancers. Cheek cancer is more common in men than women, and typically affects people of age over 50. The most common type of Cheek cancer is squamous cell carcinoma, which accounts for about 90% of all cancers. This type of cancer starts in the thin, flat cells that make up the lining of the cheeks. Other types of cheek cancer include adenocarcinoma and mucoepidermoid carcinoma.
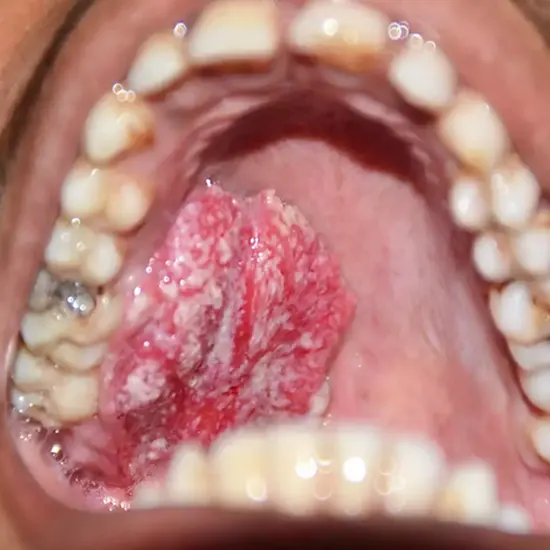
What is Cheek Cancer?
Cheek cancer, also known as buccal mucosa cancer or oral cancer most commonly develops in the inner lining of the cheeks. It is a form of squamous cell carcinoma that typically affects individuals who use tobacco or alcohol. It can also occur on the gums, tongue, and other areas of the oral cavity. The buccal mucosa(cheeks' inner lining) is a smooth, moist, and pink tissue that covers the inside of the mouth and helps protect the delicate structure within the oral cavity. It is composed of stratified squamous epithelium, which is the same type of tissue that makes skin.
What are the types of cheek cancer?
Cheek cancer (Buccal mucosa cancer) can refer to several different types of cancer that develop in the lining of the cheeks.
The most common type of cheek cancer is squamous cell carcinoma, which accounts for about 90% of all cases.
Other types of cheek cancer include adenocarcinoma and mucoepidermoid carcinoma.
Squamous Cell Carcinoma: This is the most common type of cheek cancer. It develops in the thin, flat cells that make up the lining of the cheeks. Squamous cell carcinoma can spread to other parts of the body if not treated early. Risk factors for squamous cell carcinoma include tobacco and alcohol use, as well as infection with the human papillomavirus (HPV).
Adenocarcinoma: This type of cheek cancer develops in the glandular cells of the cheeks. It is less common than squamous cell carcinoma and may be harder to diagnose because it can resemble other benign conditions. Adenocarcinoma can also spread to other parts of the body if not treated early.
Mucoepidermoid Carcinoma: This type of cheek cancer is rare and develops in the salivary glands of the cheeks. Mucoepidermoid carcinoma can be slow-growing or fast-growing and can sometimes spread to other parts of the body. Treatment for mucoepidermoid carcinoma may involve surgery to remove the cancerous tissue, radiation therapy, and/or chemotherapy.
Other types of oral cancers can develop in the mouth and throat, in addition to cheek cancer. These include cancers of the tongue, lips, gums, and roof of the mouth.
If you suspect you may have cheek cancer or are experiencing any concerning symptoms, it is important to consult with a medical professional for an accurate diagnosis and appropriate treatment.
What are the stages of Cheek Cancer?
Cancer of the cheek, also known as buccal cancer, is staged based on the extent of the tumour's spread. The most commonly used staging system for cheek cancer is the TNM staging system, which takes into account the size of the tumor, and whether it has spread to other body organs.
The stages of cheek cancer are as follows
- Stage 0: The cancer is in situ, meaning it has not spread beyond the inner lining of the cheek.
- Stage I: The cancer is small and has not spread beyond the cheek.
- Stage II: The cancer is larger than stage I, but has not spread beyond the cheek.
- Stage III: Cancer has spread to nearby lymph nodes or other nearby tissues, but has not spread to other parts of the body.
- Stage IV: Cancer has spread to other parts of the body or distant organs.
The treatment options for cheek cancer depend on the stage of cancer, as well as other factors such as the patient's overall health and medical history.
What are the symptoms of Cheek Cancer?
Symptoms of cheek cancer, also known as buccal mucosa cancer or oral cancer, can include:
- A sore in the mouth
- An unhealed lump in the mouth
- Difficulty chewing or swallowing
- Alteration in the way your teeth fit together
- Pain in the mouth
- Pain in jaw
- Numbness in the mouth or tongue
- Difficulty moving the tongue or jaw
- Swelling in the cheek or jaw
- Unexplained weight loss
These symptoms can be caused by a variety of conditions, and not all cases of cheek cancer will cause symptoms. Some people may not experience any symptoms until the cancer has advanced to a later stage.
What are the common causes of Cheek Cancer?
Cheek cancer can have multiple causes, and often occurs due to a combination of risk factors. Making lifestyle changes, such as quitting tobacco and limiting alcohol consumption, can help reduce the risk of developing cheek cancer.
- Tobacco use: The most common cause of cheek cancer is tobacco use, whether through smoking or chewing tobacco. Tobacco contains carcinogens that can damage the cells in the cheek lining, leading to cancer.
- Alcohol consumption: Drinking alcohol excessively over a prolonged period can also increase the risk of developing cheek cancer.
- Betel quid chewing: Betel quid is a mixture of betel leaf, and areca nut, It can cause irritation and inflammation in the mouth, which can increase the risk of developing cheek cancer.
- Human papillomavirus (HPV) infection: HPV is a sexually transmitted infection that can cause cancer in various parts of the body, including the cheeks.
- Poor oral hygiene: Poor oral hygiene and dental health can cause chronic inflammation and infection, which can increase the risk of developing cheek cancer.
- Exposure to environmental toxins: Exposure to certain environmental toxins, such as those found in some workplaces or in the air, can increase the risk of developing cheek cancer.
- Family history: A family history of cheek cancer can increase the risk of developing the disease.
What are the benefits of early detection of cheek cancer?
Early detection of cheek cancer can provide several benefits, including:
Improved chances of successful treatment: When cheek cancer is detected early, it is typically easier to treat and has a higher chance of being cured. Early treatment can also help to prevent the spread of cancer to other parts of the body.
- Reduced need for extensive surgery: If cheek cancer is detected early, it may be possible to remove the cancerous tissue with a smaller, less invasive surgical procedure. This can reduce the need for more extensive surgery, which can be more difficult and may require longer recovery times.
- Lower risk of complications: Early detection can also help to reduce the risk of complications associated with cancer treatment, such as infection and scarring.
- Better quality of life: Early detection and treatment can help to preserve normal cheek function, which can improve the quality of life for patients.
- More treatment options: Early detection can also provide patients with more treatment options, such as radiation therapy, chemotherapy, and targeted therapy. These treatments may be more effective when used in combination with surgery and may be less toxic when used in lower doses.
How is Cheek Cancer Diagnosed?
Cheek cancer is typically diagnosed through a combination of physical examination, medical history, imaging tests, and biopsy.
Here are some common methods used to diagnose cheek cancer:
Physical examination: Your doctor will first examine your cheeks and mouth for any signs of abnormal growth or sores.
Medical history: Your doctor will ask you about your medical history, including any past surgeries, treatments, or health conditions that may affect your risk for cheek cancer.
Biopsy: A tissue biopsy is the most reliable way to confirm a diagnosis of cheek cancer. During a biopsy, a small sample of tissue is taken from the affected area and examined under a microscope for signs of cancer cells.
Imaging tests: Your doctor may order imaging tests such as CECT cheek scans, MRI Cheek scan or whole-body PET scans to help identify the location and extent of the cancer.
CECT scan for cheek cancer: A contrast-enhanced CT (computed tomography) cheek scan is a type of imaging test that may be used to diagnose cheek cancer. This can help show the size and location of the tumor and whether it has spread to nearby structures like the jawbone or lymph nodes. It can also be used to monitor the progression of cancer and to check if treatment is working effectively.
MRI scan for cheek cancer: MRI (Magnetic Resonance Imaging) cheek scan is another type of imaging test that may be used to diagnose cheek cancer. An MRI machine uses a magnetic field and radio waves to produce detailed images of the body's soft tissue, including the cheek area. An MRI Cheek may be ordered if a doctor suspects that cancer has spread beyond the cheek area or if they need to get a more detailed view of the extent of cancer. An MRI can help show the size of the tumour, its location in the cheek, and whether it has spread to nearby structures like the jawbone or muscles.
Whole-body PET scan for cheek cancer: A whole body pet scan (Positron Emission Tomography) is a type of imaging test that may be used to help diagnose and stage cheek cancer. PET/CT scans can help determine the extent of the cheek cancer and whether it has spread to nearby lymph nodes or other areas of the body. PET scans can be useful in detecting cancer recurrence, monitoring response to treatment, and helping doctors make decisions about treatment options.
How to prevent cheek cancer?
Here are the important steps that help to reduce cheek cancer risk:
Avoid tobacco and alcohol: Tobacco use, whether it's smoking or chewing, is a major risk factor for cheek cancer. Alcohol consumption also increases the risk. Avoiding these habits or reducing their use can significantly decrease your risk.
Protect your lips from the sun: Prolonged exposure to the sun's harmful UV rays can increase the risk of cheek cancer. Wear a lip balm or sunscreen with SPF when you're outside.
Eat a healthy diet: A diet that is rich in fruits and vegetables can help prevent cheek cancer. Choose foods that are high in vitamins and antioxidants, and limit your intake of processed foods and red meat.
Practice good oral hygiene: Maintaining good oral hygiene, such as brushing and flossing regularly, can help prevent cheek cancer. Regular dental check-ups are also important.
Be aware of your risk factors: If you have a family history of cheek cancer, or have previously had oral cancer, you may be at a higher risk. Regular check-ups with your doctor or dentist can help catch any potential issues early.
Conclusion
Early detection of cheek cancer is crucial to improve the chances of successful treatment, reduce the need for extensive surgery, minimize complications, improve quality of life, and provide more treatment options to patients.
To detect cancer of the cheek at an early stage, Ganesh Diagnostic offers a comprehensive Cheek cancer preventive check-up package. For any further information, you can talk to our healthcare executives 24*7.
Frequently Asked Questions (FAQ’s)
What is the Cheek Cancer?
This test is used to detect any kind of abnormal inflammation and infection in our body by measuring the rate of erythrocyte sedimentation.
What are the Symptoms of Throat Cancer?
Throat cancer symptoms include difficulty in swallowing, change in voice, ear pain, sore throat etc.
What are the different types of Cheek Cancer?
Different types of Cheek Cancers include Squamous Cell Carcinoma, Adenocarcinoma and Mucoepidermoid Carcinoma
What are the different stages of the Cheek Cancer?
Different stages of cheek cancers include: Stage 0, Stage I, Stage II, Stage III and Stage IV.
What are the Different Causes of Cheek Cancer?
Different causes of cheek cancers are Tobacco use, Alcohol consumption, Betel quid chewing, Human papillomavirus (HPV) infection, Poor oral hygiene, Exposure to environmental toxins, Family history etc.
How to prevent Cheek Cancer?
Various ways to prevent cheek cancer are: Eat a healthy diet, practice good oral hygiene and be aware of your risk factors
Which tests are used for the diagnosis of Cheek Cancer?
Various tests used for the diagnosis of cheek cancer are: Physical examination, Medical history, Biopsy, Imaging tests, CT scan, MRI scan etc.
What is the ICD-10 code for Cheek Cancer Unspecified?
The ICD-10 code for unspecified Cheek cancer Tests is C06.9.
How to book an online appointment for a Cheek cancer test in Delhi?
Patients can call at 011-47-444-444 / 011-47-333-333 or visit Ganesh's diagnostic website to book an appointment for a Cheek cancer test in Delhi.
How can Patients download Cheek cancer Test Reports Online?
Patients can visit Ganesh's diagnostic website or call at 011-47-444-444 / 011-47-333-333 to download the cheek cancer test report online.
Which Ganesh Diagnostic Centre is near me in Delhi for the Cheek cancer Tests?
Ganesh Diagnostic centres for cheek cancer are in Rohini, Nangloi, Model Town, Hari Nagar, Mangol Puri, and Yamuna Vihar.

